
Products
At Sjl Dental Studios, we create restorations that match the natural oral environment, in order to meet the patient's requirements and expectations.
Please browse a preview of some of our work below.
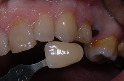
All Ceramic Restorations
Lithium Disilicate can be combined with implants, inlays and veneers, and even matched to bonded ceramic crowns and zirconia.
![]() | ![]() | ![]() | ![]() |
|---|---|---|---|
![]() | ![]() | ![]() |
Veeners and Zirconia
Veneers can transform a patient's smile. When necessary, a perfect ceramic combination with zirconia can be achieved in the aesthetic zone. Zirconia is a strong alternative, particularly when there is minimal occlusal clearance.
![]() | ![]() | ![]() | ![]() |
|---|
Implants
From the design of custom abutments, to metal bonded ceramic or all ceramic restorations.
![]() | ![]() | ![]() | ![]() |
|---|---|---|---|
![]() | ![]() | ![]() | ![]() |
Cad Cam
3 Shape Cad Cam compatablity provides intra oral scans and model designs to be achieved
![]() | ![]() | ![]() |
|---|
Cad Cam
3 Shape Cad Cam compatibility allows for intra oral scans to be received and model designs to be achieved from digital or analogue techniques.
![]() | ![]() | ![]() | ![]() |
|---|
Metal Bonded
Metal bonded restorations have been used in the industry for many years, and still provide a reliable aesthetic results
![]() | ![]() | ![]() | ![]() |
|---|























